Magazín Leonardo – Člověk
10. březen 2015
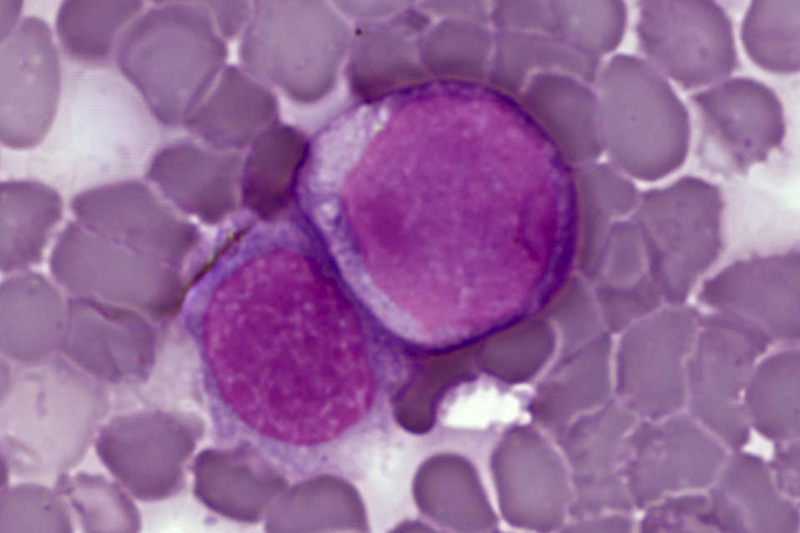
Jak cytometrie hledá leukemické buňky
Čeští lékaři v loňském roce zaznamenali významný pokrok v léčbě dětské leukémie a pozadu nezůstávají ani ve výzkumu. S Magazínem Leonardo navštívíme laboratoř cytometrie, do níž nedávno přibyl velmi výkonný pomocník.
V dalším příspěvku si pak připomeneme blížící se světový den ledvin. Dozvíte se například, jak funguje takzvaná domácí dialýza.
Moderuje Martin Srb.
Poslouchejte Magazín Leonardo v úterý 10. března od 21:40.
Nejposlouchanější
Více z pořadu
E-shop Českého rozhlasu
Hurvínek? A s poslední rozhlasovou nahrávkou Josefa Skupy? Teda taťuldo, to zírám...
Jan Kovařík, moderátor Českého rozhlasu Dvojka

Hurvínkovy příhody 5
„Raději malé uměníčko dobře, nežli velké špatně.“ Josef Skupa, zakladatel Divadla Spejbla a Hurvínka